Add Row
Add Element
AiTechDigest
update
AI Tech Digest
AiTechDigest
update
Add Element
  • Home
  • Categories
    • AI & Machine Learning
    • Future Technologies
    • Tech Industry News
    • Robotics & Automation
    • Quantum Computing
    • Cybersecurity & Privacy
    • Big Data & Analytics
    • Ethics & AI Policy
    • Gadgets & Consumer Tech
    • Space & Aerospace Tech
  • All Posts
  • AI & Machine Learning
  • Future Technologies
  • Tech Industry News
  • Robotics & Automation
  • Quantum Computing
  • Cybersecurity & Privacy
  • Big Data & Analytics
  • Ethics & AI Policy
  • Gadgets & Consumer Tech
  • Space & Aerospace Tech
January 20.2026
2 Minutes Read

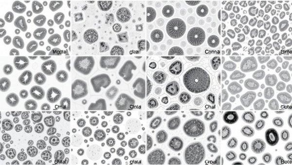
How AI-Powered Virtual Staining Enhances Cell Imagery for Biology

AI-powered virtual staining micrographs in a grid layout.

Revolutionizing Cell Imaging: The AI Breakthrough

Imagine knowing how our cells function with the same clarity a photographer captures a sunrise. Researchers at Ben-Gurion University have achieved this remarkable feat through AI innovations that advance virtual staining, allowing us to see the internal dynamics of cells like never before. This pioneering approach helps scientists better understand diseases and the human body’s functioning without harming delicate cell structures.

Why Traditional Microscopy Falls Short

The light microscope, developed over 350 years ago, is a fundamental tool in biology, used to uncover the secrets of cells. However, like trying to read a book with missing pages, traditional microscopy struggles against the transparency of cells. Treatments like fluorescent staining, while effective, introduce significant challenges. The chemicals involved can fade quickly, damage the cell, and make it hard to observe multiple organelles at once. It's like carrying extra baggage on a delicate journey.

AI's Role in Virtual Staining

Enter AI and the concept of 'in silico labeling.' Researchers have found a novel way to bypass the limitations of traditional techniques by training AI to interpret and colorize images from label-free microscopy. It’s akin to watching a black-and-white movie transform into vibrant technicolor; the AI identifies subtle patterns of light and shadow, crafting a colorful representation of the cell’s internal environment.

Understanding the Context: The Key to Clarity

Like deciphering a word in a complex sentence, AI needs context to make accurate interpretations. Previous methods were akin to trying to understand a cell by examining it at a pixel level, missing the narrative woven through its components. The researchers at Ben-Gurion University have figured out that providing the AI with comprehensive environmental cues gives it the insight needed to construct a holistic view of the cell.

Why This Matters for Health and Biotechnology

The implications of these advancements extend far beyond the lab. With more accurate imaging techniques, scientists can investigate cellular behavior, leading to breakthroughs in understanding diseases such as cancer and neurodegenerative disorders. Additionally, this technology holds promise for the biotech industry, potentially influencing regenerative medicine and beyond. Imagine treatments tailored to precise cell behaviors and pathways.

Future Possibilities: Transforming Healthcare

As these technologies evolve, we may find ourselves on the brink of transformative change in health monitoring and treatment options. More accurate imaging tools could help in early disease detection, personalized medicine, and a deeper understanding of how our bodies work at a fundamental level. This is an exciting chapter in the intersection of technology and biology, heralding a future where innovation and health go hand in hand.

Future Technologies

0 Views

0 Comments

Write A Comment

*
*
Please complete the captcha to submit your comment.
Related Posts All Posts
04.08.2026

Unveiling the Cosmic Soundscape: How Rocky's Alien Voice Was Crafted

Update Decoding Rocky: How Sound Designers Brought an Alien to LifeIn the realm of science fiction, the question of what aliens might sound like remains tantalizingly elusive. But in the recent blockbuster "Project Hail Mary," this mystery is solved through the innovative collaboration of Oscar-winning sound designers Ethan Van der Ryn and Erik Aadahl. Tasked with creating the voice of the endearing Eridian creature named Rocky, they relied heavily on the organic sounds of the natural world, even experimenting with surprising animal sound influences.The creative duo, known for their work in films like "A Quiet Place" and "King Kong," strived to craft a unique language that mirrors Rocky’s character—an alien interpretation of consciousness and emotion. Drawing inspiration from author Andy Weir’s book, they explored how the soundscape could not only enhance the storytelling but also create an authentic connection between Rocky and astronaut Ryland Grace, portrayed by Ryan Gosling.Embracing Nature's SymphonyOne of the most groundbreaking aspects of their sound design was the use of animal sounds, a decision that distinguishes "Project Hail Mary" from other sci-fi ventures. Van der Ryn and Aadahl sifted through an impressive variety of organic influences, from bird calls to whale songs, ultimately culminating in a language that, while unique, harbors familiar nuances. "When Rocky is feeling serious, he speaks in deeper tones akin to whale song; when he's excited, the pitch rises to that of a piccolo," Aadahl explained. This ambitious endeavor included 250 unique words and tonal variations that enriched the film's narrative arc.The Creative Challenges of Alien CommunicationCreating a non-human language invites complexity. Van der Ryn described the initial attempts at crafting Rocky's voice as a process rife with trial and error. Their journey of discovery involved not just sound technology but also traditional instruments; the ocarina, for instance, proved to be a vital component, providing a natural breath and flexibility in tone. This layered approach conjured up an alien language that feels alive and dynamic, aligning perfectly with the film's theme of communication across species.Sound as a Reflection of Intelligence and EmotionSound design in "Project Hail Mary" operates on multiple levels. The aim was to channel Rocky's essence and convey his thoughts and feelings through sonic modulation. Aadahl emphasized that the goal was to ensure that the sounds conveyed vital cues about Rocky's emotional state. With instruments ranging from contralto flutes to bird calls, they aimed to evoke the intelligence beneath Rocky's unique species.In using everyday sounds to recreate Rocky's voice, Aadahl and Van der Ryn turned a straightforward dialogue of science fiction into something deeply emotive and relatable. The requirement for a grounded authenticity led them to refrain from synthetic sounds, opting instead for organic vocal expressions that resonate with audiences on a profound level.Reflection on Innovation in Sound DesignThe challenges posed by "Project Hail Mary" reflect the integral role sound plays in enhancing visual storytelling. As Aadahl pointed out, the sound design team wasn't just creating noises; they were imbuing the film with a narrative connection. Emphasizing a collaborative ethos, he reflected on how their process mirrored the larger thematic elements of the story: a quest for communication. In a world where technology often eclipses nature, grounding their work in authenticity showcased the potential of sound as an innovative tool for storytelling.Conclusion: The Joy of Collaboration and DiscoveryThe partnership of Aadahl and Van der Ryn reveals the often-overlooked artistry in film sound design. Through their innovative approaches, they transformed the sonic representation of an alien into something relatable, highlighting the universal pursuit of understanding across species. Their dedication not only enhances the cinematic experience but brings to life the theme that underpins "Project Hail Mary": the power of communication in any form.

04.08.2026

What the EpiGPTope AI Epitope Library Means for Future Vaccines

Update Revolutionizing Vaccine Development: The EpiGPTope Breakthrough The introduction of epiGPTope, a groundbreaking AI-powered epitope library developed by the CIC biomaGUNE Center, marks a significant leap forward in the field of biotechnology and cancer immunotherapy. This innovative system utilizes advanced machine learning algorithms to systematically identify and classify synthetic epitopes—small fragments of proteins recognized by antibodies—in a way that streamlines the development of vaccines, biosensors, and diagnostic tools. At the core of this innovation is the intelligence to sift through millions of potential epitope combinations swiftly, significantly optimizing production processes compared to traditional methods. A major advantage of epiGPTope is its ability to discern whether a particular epitope is derived from a bacterium or a virus, thus creating a targeted library of relevant sequences. This specificity can provide substantial benefits in clinical applications, where quick and accurate identification of pathogens is essential. Biosensors and Point-of-Care Diagnostics: A New Frontier The applications of this epitope library extend beyond vaccine development. As noted by research associate Aitor Manteca, the protein fragments generated are not merely confined to laboratory experiments. Following screening, they can be integrated into microfluidic systems, which enable precise and rapid testing against specific antibodies. This approach allows for the simultaneous analysis of numerous combinations, enhancing the throughput and efficiency of diagnostic processes. These advancements have the potential to revolutionize point-of-care diagnostics, particularly in developing rapid tests capable of identifying bacteria or viral infections in various samples—be it blood, water, or otherwise. The integration of AI into these technologies not only makes them faster but also cheaper and more accessible, addressing a critical demand in global healthcare. Personalized Immunotherapy: The Role of AI As the conversation on AI in healthcare continues to expand, personalized cancer vaccines stand at the forefront of this transformation. Techniques developed in personalized vaccination align with the predictions of tumor-specific neoantigens, enabling the design of targeted immunotherapies that elicit robust immune responses against cancer cells. The synergy between artificial intelligence and immunotherapy has shown potential in tailoring vaccine strategies to individual patients, allowing for adjustments based on their unique genetic makeup and the evolving nature of their tumors. For instance, recent studies utilizing AI algorithms have enabled the identification of neoantigens from a patient’s specific tumor profile, paving the way for highly personalized treatments. Ethical Considerations in AI and Vaccine Development Amid the excitement surrounding these advancements, ethical concerns surrounding data privacy and algorithmic bias remain paramount. Ensuring transparency in the development and deployment of these AI technologies is essential to maintain public trust and safeguard individual rights. Consequently, the prospect of AI in vaccine development is not just about technological prowess but equally about navigating the complex ethical landscape. Consequently, researchers and companies must engage with regulatory bodies early in the process to establish guidelines that govern the use of AI in clinical settings while also addressing any potential biases in the algorithms that guide patient treatment decisions. Looking Ahead: The Future of Cancer Vaccines As we contemplate the future of cancer treatment, the role of AI in vaccine development emerges as not only innovative but necessary. With efforts invested in enhancing biological and computational techniques, the convergence of AI, biotechnology, and immunology heralds a new era in personalized medicine. From refining vaccine designs to identifying novel targets for immunotherapy, the implications of these advancements are vast and promise better patient outcomes in the fight against cancer. In conclusion, as the field moves forward, it is imperative to foster interdisciplinary collaboration among biologists, data scientists, and ethicists to fully harness AI’s potential in immunotherapy and ensure a sustainable future for cancer vaccines.

04.06.2026

Trump's Proposed NASA Science Funding Cuts: Critical Impact on Innovation

Update Trump's Proposed NASA Budget Cuts: A Closer Look In a move that echoes budgetary attempts from previous years, the Trump administration has again proposed a significant cut to NASA's science funding for the fiscal year 2027. This proposal suggests a 47% reduction in the budget for the Science Mission Directorate, dropping it from $7.25 billion to approximately $3.9 billion. This drastic measure, if approved, would signify the largest single-year cut in NASA's science funding history, heightening concerns among advocates and experts alike about the potential risks to U.S. leadership in space science and exploration. Understanding the Implications of Budget Cuts The repercussions of these proposed cuts stretch far beyond immediate financial implications. They threaten to disrupt several key projects that form the cornerstone of NASA's scientific endeavors. Significant projects like the Nancy Grace Roman Space Telescope, which promises to enhance our understanding of the universe, as well as missions targeting Saturn's moon Titan, like Dragonfly, could face delays or cancellations. Bipartisan Resistance Signals Future Debates The proposed reductions are not new; they closely mirror the unsuccessful budget cuts proposed during the FY 2026 cycle. Last year's proposal faced bipartisan backlash, resulting in Congress approving a budget of $24.4 billion for NASA, ensuring that science funding remained intact. Support for balanced funding is evident, as congressional members recently co-signed letters urging a $1.75 billion increase in NASA's science budget. This consistent resistance highlights the support for NASA's dual focus on exploration and scientific research, evoking a broader societal consensus against steep cuts. The Balance Between Science and Human Exploration Critics emphasize a troubling trend in prioritizing human exploration, such as the Artemis program, at the expense of scientific initiatives. While human endeavors to return to the moon have historic significance and could offer technological advancements, they must not overshadow the critical nature of continuous scientific exploration. The benefits derived from understanding planetary systems, astrophysics, and climate observation are integral to maintaining innovation and adapting to the global needs of today. What This Means for Innovation and Future Ready Strategies Innovation in space science should be viewed as an essential element of technological progress. Funding reductions could stifle vital research that bears profound consequences for humanity's understanding of its place in the cosmos. As the world faces pressing challenges such as climate change and resource management, continued investment in scientific exploration offers pathways to innovative solutions. By maintaining a balanced budget that supports both exploration and scientific research, the U.S. can position itself as a leader in space, technology, and scientific inquiry. What's Next? The Path Ahead for NASA and Congress As the debate around the proposed budget unfolds, Congress plays a crucial role in shaping NASA's future. Historically, lawmakers have rejected extreme cuts to science, emphasizing the need for a balanced approach. The coming months will see intense discussions on the proposed cuts, reflecting a broader concern for ensuring that NASA remains not only an agency of exploration but also a beacon of scientific discovery. Those interested in the future of space exploration and innovation should stay informed and engaged in this critical dialogue, advocating for a balance that ensures both human and scientific missions can thrive.

Terms of Service

Privacy Policy

Core Modal Title

Sorry, no results found

You Might Find These Articles Interesting

T
Please Check Your Email
We Will Be Following Up Shortly
*
*
*